👋 Hi, how can I help you today?
How to read our cases
PPD (Pocket Depth)
Target: meaningful reduction (e.g. 7-8mm → 3-4mm).
CAL (Attachment)
Improvement/stability = long-term tooth security.
BOP (Bleeding)
Should move from generalised to localised/absent.
Teeth Preserved
The absence of extractions is often the real "after".
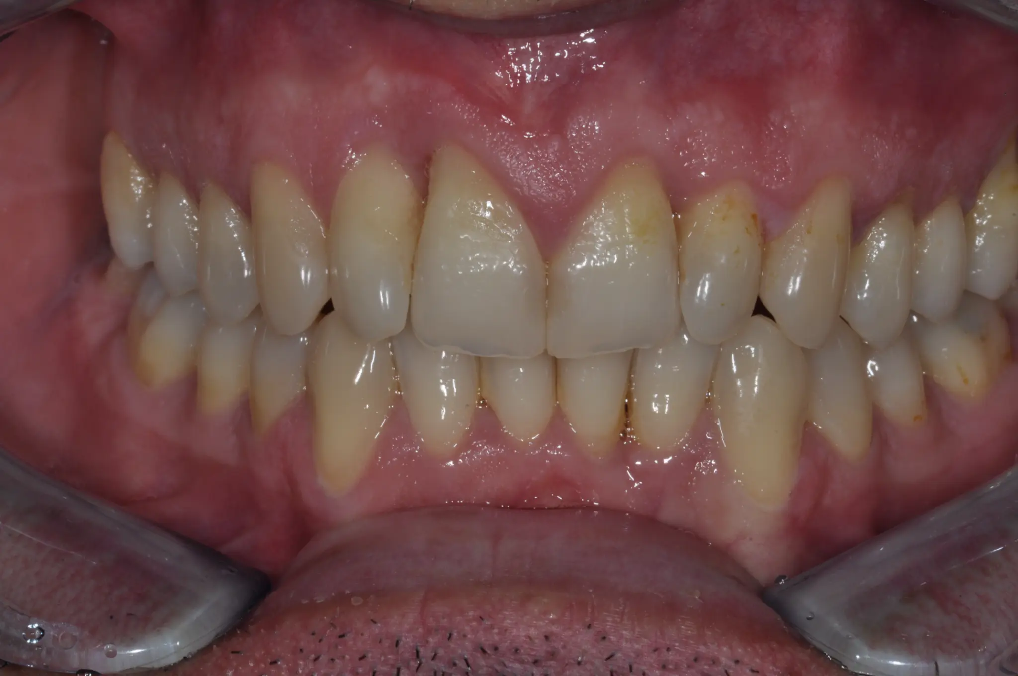
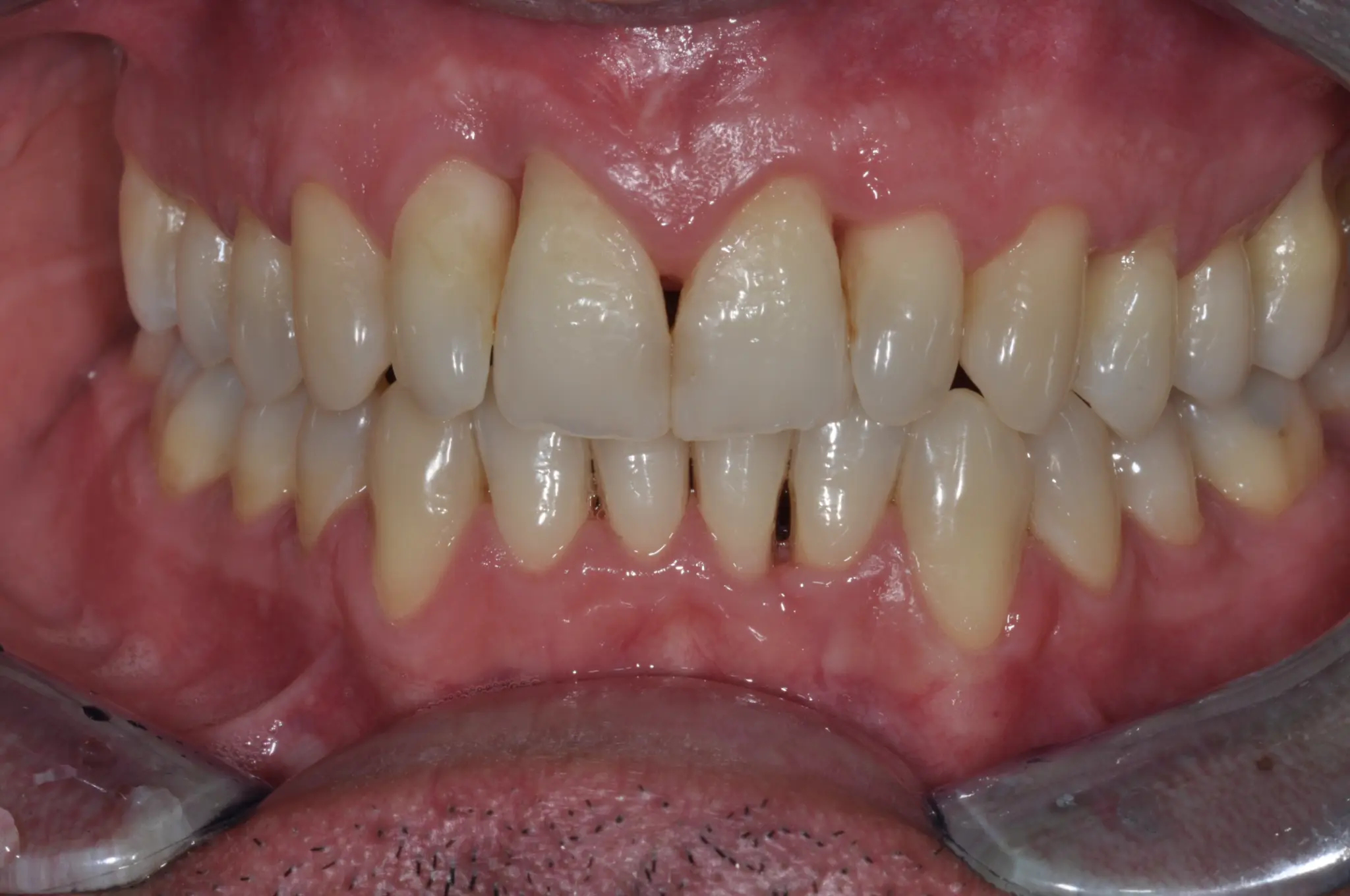
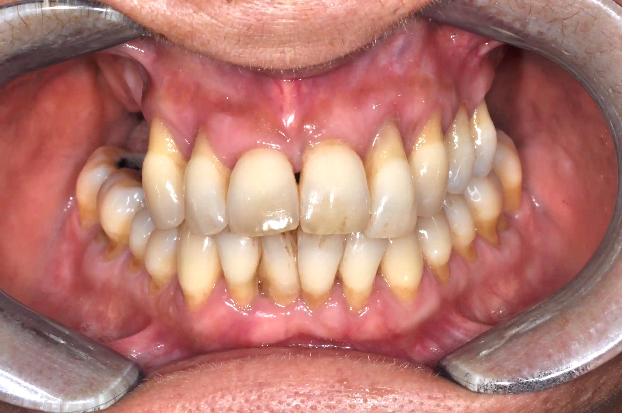
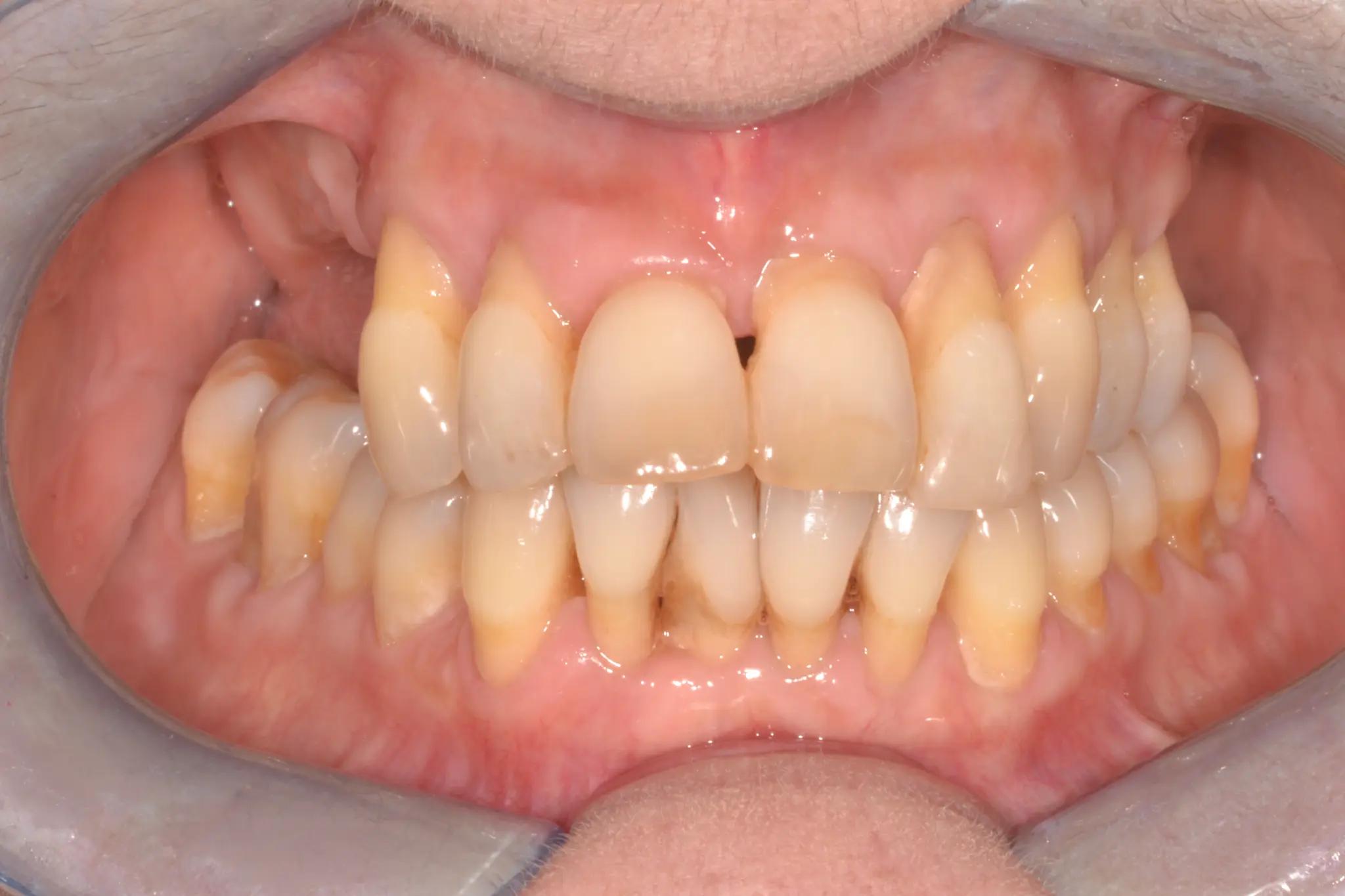
Case #001Advanced Periodontitis
Full Mouth Rehabilitation
CLINICAL PHOTOS (BEFORE & AFTER)

PERIODONTAL CHART DATA (BEFORE & AFTER)

Clinical Notes:
The top image shows the visual improvement in gum health. The bottom charts provide the clinical proof: a dramatic reduction in deep pockets (blue zones) and bleeding points (red dots), confirming the restoration of periodontal health.
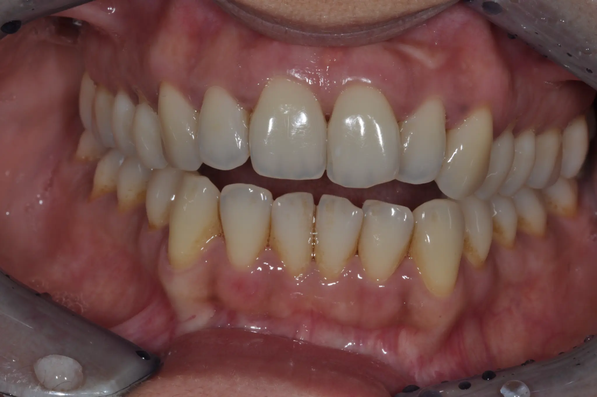
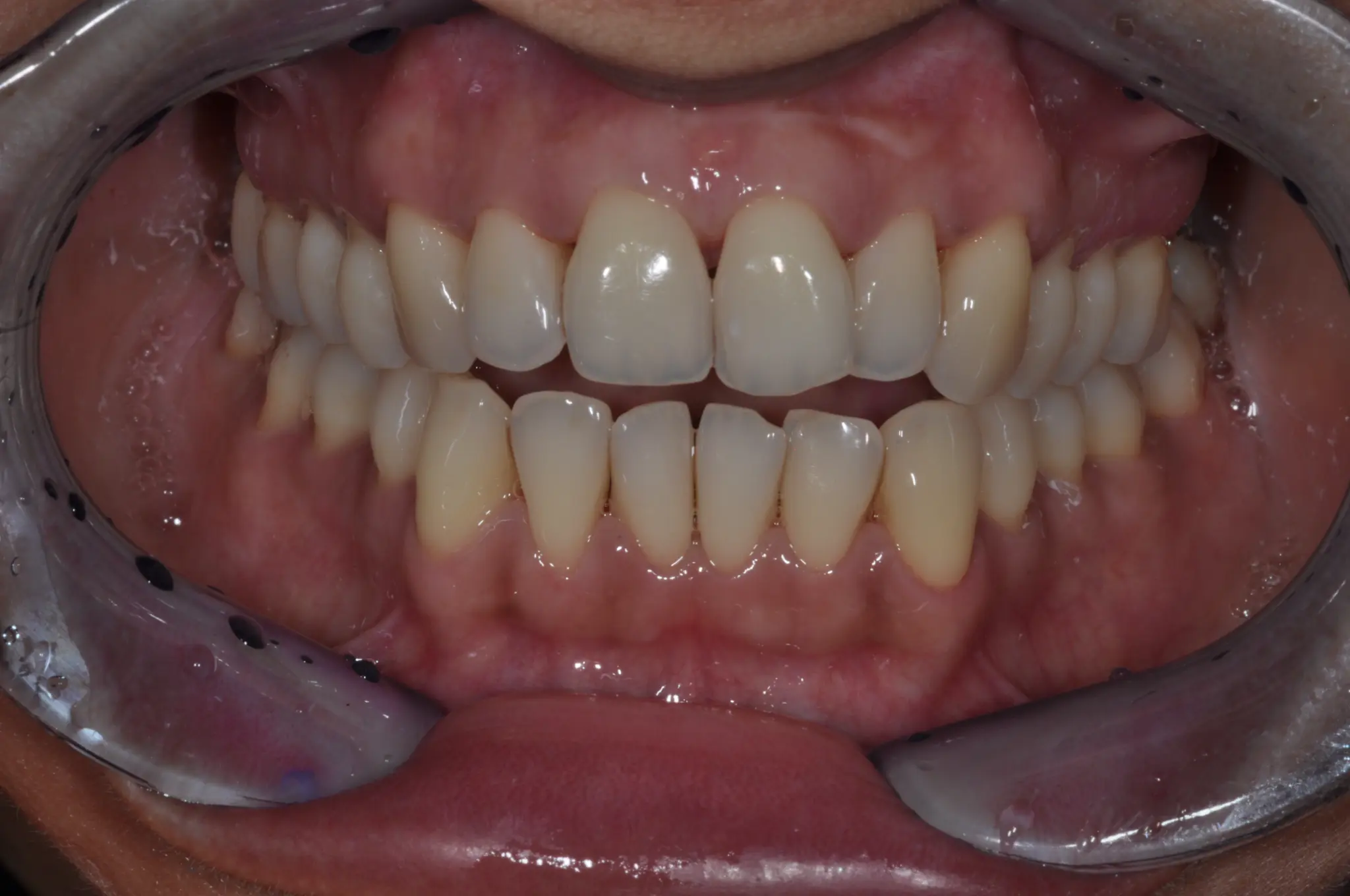
Case #002Severe Inflammation
Tissue Recovery & Stability
BEFORE

AFTER

INITIAL CHART

FINAL CHART

Case #003Aesthetic & Functional Recovery
Gum Health Restoration
BEFORE

AFTER

INITIAL CHART

FINAL CHART

Case #005Severe Gingival Inflammation
Complete Tissue Healing
BEFORE

AFTER

INITIAL CHART

FINAL CHART

Case #004Data-Driven Success
The "Invisible" Healing
"Sometimes the most important results aren't what you see in a smile, but what we measure in the gums. This case demonstrates massive reduction in pocket depth and bleeding—the true markers of health."
INITIAL CHART (Active Disease)

FINAL CHART (Health)

